Understand your hip health. Explore comprehensive information on conditions, procedures, and what to expect on your path to recovery.
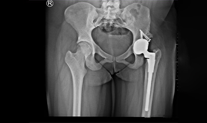
26-year-old woman diagnosed with hip dysplasia characterized by a shallow hip socket. She underwent a left total hip replacement using a specialized prosthesis known as the S-ROM system. Additionally, bone grafting was performed to reconstruct and reinforce the socket walls for better implant support.This is one of the youngest girls I have done a hip replacement in. Did her right hip when she was 13 and the left a year later. She is a blood cancer survivor. She had collapse of both her hips related to chemotherapy (which actually saved her life). She had ceramic bearings. Presently totally symptom free pursuing her higher studies.
Detailed imaging and clinical evaluations revealed developmental dysplasia of the hip. A comprehensive surgical plan was developed, considering the unique anatomy.
Detailed imaging and clinical evaluations revealed developmental dysplasia of the hip. A comprehensive surgical plan was developed, considering the unique anatomy.
Recovery involved a structured rehabilitation program focusing on muscle strengthening, range of motion, and gradual return to daily activities.