Understand your hip health. Explore comprehensive information on conditions, procedures, and what to expect on your path to recovery.
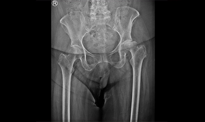
This 82-year-old lady, mother of a doctor, developed sudden and rapidly worsening hip pain over the course of a month. Initial concerns pointed to a possible infection due to the rapid collapse of the joint. Further evaluation confirmed a rare condition — rapidly progressive osteoarthritis, which is effectively treated with a single-stage hip replacement.We used a dual mobility here to reduce the risk of dislocation. She was in hospital for 3 days and is delighted with the results as she is pain free and back to normal mobility
The rapid deterioration of the hip joint initially mimicked an infection. However, it was diagnosed as rapidly progressive osteoarthritis — a rare but treatable condition.
To minimize the risk of dislocation, a dual mobility implant was used during the single-stage hip replacement procedure.
Following a successful single-stage hip replacement using a dual mobility implant, the patient is now completely pain-free and mobile. She has returned to her normal routine with great satisfaction.