Understand your hip health. Explore comprehensive information on conditions, procedures, and what to expect on your path to recovery.
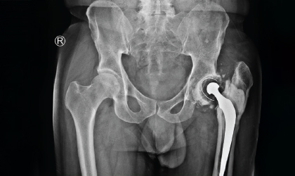
This 62 year old driver travelled all the way from his home in Wayanad to have the hip revised. He had his left hip done in Chennai some 30 years ago. He had shortening and pain. As expected he was very apprehensive before surgery. He recovered rapidly and by 3 months he went back as a driver with legs the same length and painfree
The patient presented with a painful and shortened left leg following a decades-old hip replacement. Understandably, he was apprehensive about undergoing surgery again.
He recovered rapidly, and within three months, he returned to work as a driver. His legs are now of equal length, and he remains pain-free and confident in his mobility.
The revision restored his confidence, functionality, and livelihood. With a balanced gait and no discomfort, he's back behind the wheel, living a full and active life once again.